Grænihryggur - Gesteinsart?
-
- Hüter des Gullfoss
- Beiträge: 162
- Registriert: Sa 17. Dez 2011, 08:02
- 13
Re: Grænihryggur - Gesteinsart?
Ist denn in Landmannalaugar der grüne Felsen zwischen dem Lavafeld direkt am Zeltplatz und Blahnukur das selbe Gestein?
Re: Grænihryggur - Gesteinsart?
Man darf sicherlich davon ausgehen, dass dieser Gesteinstyp an mehr als an einer Stelle in Landmannalaugar bzw. der Torfajökull-Caldera zu finden ist.fakewoodforest hat geschrieben: Mo 15. Sep 2025, 23:41 Ist denn in Landmannalaugar der grüne Felsen zwischen dem Lavafeld direkt am Zeltplatz und Blahnukur das selbe Gestein?
Eine Literaturstelle ist mir noch untergekommen. Der Geologische Routenführer durch Island von M. Schwarzbach und H. Noll (leider vergriffen, aber gut) beschreibt das Gestein vom Bláhnúkur wie folgt:
"Bláhnjúkur dagegen besteht aus peistozänem, rhyolithischem Hyaloklastit (subglazial entstanden und damit genetisch den basaltischen Hyaloklastiten entsprechend); ein grünliches, mürbes, granuliertes Gestein mit Nestern von nichtgranuliertem, erstarrtem Rhyolith."
Über den Ursprung der grünen Farbe schweigt er sich leider aus.

Die isländischen Vulkane verhalten sich allerdings, ähnlich wie das isländische Wetter, ziemlich isländisch. (NeitherErnie)
Re: Grænihryggur - Gesteinsart?
(Ich gehe davon aus, daß der Autor der Antwort beim Vísindavefur weiß wovon er schreibt, denn Sigurður Steinþórsson war Professor für Geologie an der Hochschule Islands (Petrologie/Mineralogie und Geochemie). Der Witz am Vísindavefur ("Wissenschaftsnetz") ist ja, daß Spezialisten antworten.)
Re: Grænihryggur - Gesteinsart?
Ja und nein. Wie gesagt, ich bin mir ziemlich sicher, dass Grænihryggur, wie auch Bláhnúkur bzw. Grænagil aus Rhyolith besteht.fakewoodforest hat geschrieben: Mo 15. Sep 2025, 23:41 Ist denn in Landmannalaugar der grüne Felsen zwischen dem Lavafeld direkt am Zeltplatz und Blahnukur das selbe Gestein?
Ob sie zeitgleich entstanden sind, kann ich nicht sagen. Der Bláhnúkur ist durch mehrere kleine Eruptionsphasen während der letzten Eiszeit (vor 115.000 – 11.500 Jahren) entstanden. Vom Grænihryggur gibt es (meines Wissens) keine wissenschaftlichen Publikationen. Deshalb kann ich nicht sagen, ob sie möglicherweise zeitgleich entstanden sind. Die Ablagerungsfolge des Bláhnúkur ist zudem ziemlich komplex. Da Grænihryggur wesentlich kleiner ist, wird auch die Ablagerungsabfolge nicht so komplex und variabel sein.
Ich kenne den Artikel von Sigurður Steinþórsson. Er ist zwar definitiv vom Fach und er hat auch fachlich geantwortet, aber die Antwort ist trotzdem eher allgemein und ausschweifend gehalten. Es werden keine links zu echten Untersuchungen und/oder fachlichen Publikationen über Grænihryggur erwähnt.lena hat geschrieben: Di 16. Sep 2025, 18:06 (Ich gehe davon aus, daß der Autor der Antwort beim Vísindavefur weiß wovon er schreibt, denn Sigurður Steinþórsson war Professor für Geologie an der Hochschule Islands (Petrologie/Mineralogie und Geochemie). Der Witz am Vísindavefur ("Wissenschaftsnetz") ist ja, daß Spezialisten antworten.)
Ich habe auch einige wissenschaftliche Publikationen von Sigurður Steinþórsson in meiner Island-Datenbank. Er ist ja inzwischen im Ruhestand, aber während seiner Arbeit als Wissenschaftler hat er offensichtlich (fast) ausschließlich über basaltisches Gestein gearbeitet. Ich habe keine Publikation zu Rhyolithen, zur Torfajökull und auch nicht zu Grænihryggur von ihm gefunden.
Uwe
http://www.unique-iceland.com
Reiseführer: Rundreise mit Wanderungen / Trekkingführer: Naturparadies am Polarkreis und Südliches Hochland
Wanderkarte: ÍSLAND (1:50.000): Landmannalaugar, Laugavegur, Þórsmörk, Fimmvörðuháls (wasserfestes Papier)
Reiseführer: Rundreise mit Wanderungen / Trekkingführer: Naturparadies am Polarkreis und Südliches Hochland
Wanderkarte: ÍSLAND (1:50.000): Landmannalaugar, Laugavegur, Þórsmörk, Fimmvörðuháls (wasserfestes Papier)
Re: Grænihryggur - Gesteinsart?
Ich habe hier mal eine Foto eines grünen Steins aus Landmannalaugar - er stammt nicht aus dem Anstehenden der bisher diskutierten Orte, sondern aus den Kiesbänken des Wasserlaufs südlich des Park- und Lagerplatzes. Leider ist meine Kapazität zur Makrofotografie nicht die stärkste; man sieht aber trotzdem, dass das Gestein aus Bruchstücken anderer Gesteine in einer feinkörnigen Matrix zusammengesetzt ist. Die hellen Bruchstücke sind unter der Lupe gut als Bimsstein identifizierbar (darum ist der Stein auch insgesamt sehr leicht), die roten und dunkelgrauen Bruchstücke könnten rhyolithischer Natur sein - das ist aber nicht sicher zu entscheiden. Klar ist: Träger des grünen Farbtons ist die diese Bruchstücke verbindende Matrix, die so feinkörnig ist, dass sie mit der Lupe nicht aufgelöst werden kann. Man kann also ad hoc kein Mineral benennen, welches die grüne Farbe hervorruft. (Das Grün wirkt durch das Blitzlicht blasser, als es tatsächlich bei Betrachtung mit bloßem Auge ist.) Eisen(II)-haltige Minerale erscheinen aber eine glaubwürdige Möglichkeit.
IMHO passt die oben zitierte Beschreibung des Hyaloklastits vom Bláhnúkur gut auf dieses Gestein. Vielleicht lehne ich mich etwa aus dem Fenster, wenn ich annehme, dass die anderen grünen Gesteine ähnlich aussehen werden - aber das ist mir für den Moment gleichgültig. Denn näher wird man der Lösung des Rätsels ohne eine Gesteinsprobe vom fraglichen Aufschluss wohl nicht kommen.
IMHO passt die oben zitierte Beschreibung des Hyaloklastits vom Bláhnúkur gut auf dieses Gestein. Vielleicht lehne ich mich etwa aus dem Fenster, wenn ich annehme, dass die anderen grünen Gesteine ähnlich aussehen werden - aber das ist mir für den Moment gleichgültig. Denn näher wird man der Lösung des Rätsels ohne eine Gesteinsprobe vom fraglichen Aufschluss wohl nicht kommen.

Die isländischen Vulkane verhalten sich allerdings, ähnlich wie das isländische Wetter, ziemlich isländisch. (NeitherErnie)
Re: Grænihryggur - Gesteinsart?
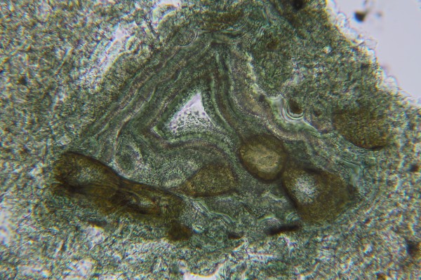
Ich habe in der Zwischenzeit mal einen Dünnschliff von dem oben gezeigten Gestein angefertigt und ein paar Mikrofotos (bei 100 bis 400facher Vergrößerung) davon gemacht. Darin ist sehr hübsch zu sehen, dass die grün gefärbten Minerale sehr ungleichmäßig über das Gestein verteilt sind und am intensivsten bei solchen Bruchstücken auftreten, die wohl einmal eine "basische" Zusammensetzung aufgewiesen haben. Eine genaue Bestimmung der Mineralphase ist damit immer noch nicht möglich (das bedürfte wohl des Einsatzes röntgenographischer Methoden); im petrographischen Sprachgebrauch nennt man solche grünen Massen (Gemische aus Chlorit, Seladonit und weiteren Zersetzungsprodukten basischer Minerale) aber allgemein "Viridit".
Viel Spaß beim Anschauen!
Viel Spaß beim Anschauen!
Die isländischen Vulkane verhalten sich allerdings, ähnlich wie das isländische Wetter, ziemlich isländisch. (NeitherErnie)
Wer ist online?
Mitglieder in diesem Forum: ClaudeBot [Bot] und 2 Gäste